HealthXchange will NEVER ask you to transfer money over a call. If in doubt, call the 24/7 ScamShield helpline at 1799, or visit the ScamShield website at www.scamshield.gov.sg.

Fixing jaw misalignments and deformities

13 Sep 2023 | Singapore Health
By Vicki Yang

The jaw correction process goes beyond a single operation, often involving both orthodontic and surgical treatments over years.


When it comes to straightening crooked teeth, dental braces or retainers are the first go-to solution. However, for people with severe misalignment in their jaws, a more major intervention — such as orthognathic surgery — may be required.

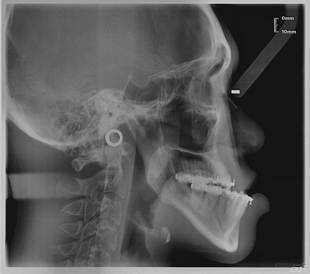
Orthognathic surgery, also known as corrective jaw surgery, aims to correct deformities or misalignment of the upper and lower jaws. These deformities and misalignments can result in malocclusions, which refer to conditions where the upper and lower teeth are misaligned when the mouth is closed — common forms include underbites, overbites or open bites.

Orthognathic surgery can also address other conditions, such as facial injuries and severe obstructive sleep apnea (OSA). In cases of severe OSA, misaligned jaws can restrict the airway, leading to breathing difficulties. Surgery to reposition the jaws and widen the airway can ease breathing problems and alleviate OSA.

A multi-stage treatment process

Rather than a single procedure, orthognathic surgery is a comprehensive course of treatments combining both orthodontic and surgical approaches that can take years to complete. As orthognathic surgery is a major intervention, it is usually prescribed when patients experience difficulties in functional issues, such as chewing, biting or speaking properly.


According to Dr Leonardo Saigo, Consultant and Deputy Head, Department of Oral and Maxillofacial Surgery, National Dental Centre Singapore, patients who undergo orthognathic surgery typically have spacing or crowding issues in their teeth. An orthodontist oversees the first phase of treatment to position the teeth for an optimal bite through orthodontic treatment, such as dental braces, which can take up to two years, depending on the severity of the issue.

After the teeth are positioned properly, orthognathic surgery is carried out to correct the alignment of the jawbones. During the procedure, a surgeon will make cuts to the jawbones and reposition them. After surgery, patients must continue orthodontic treatment for approximately six months to sustain the improved and final alignment of the teeth. In older patients — such as patients with OSA, who are usually diagnosed at a later stage of life — orthodontic treatment may take longer.

“At times, a surgery-first approach, where patients undergo orthognathic surgery without pre-operative orthodontic treatment, is possible,” said Dr Saigo. “This will reduce the treatment time significantly. However, the orthodontist and surgeon must assess if a patient is suitable for surgery first.”

Read more: FAQs about corrective jaw surgery answered! Find out more here. 

Assessing suitability for surgery

While there is no age limit for orthognathic surgery, the treatment process for younger patients with underbites, overbites and open bites typically starts only after their period of growth has concluded. “Some patients who present early may be suitable for interceptive orthodontic treatment in the hope of avoiding the need for orthognathic surgery. However, it may not always be successful,” said Dr Saigo. “Most patients come in for treatment after their completion of growth as it will ensure post-surgical stability and lower risk of relapse.”

According to Dr Saigo, underbites have a higher incidence among Asians, affecting approximately 20 per cent of the population. If left untreated, severe underbites can lead to ongoing biting issues or wearing out of teeth towards the back of the mouth at a faster rate. “Some patients may complain of difficulty articulating certain words due to the gap between the front teeth. Additionally, having a longer lower jaw may affect their self-esteem and confidence regarding their appearance,” said Dr Saigo. “We have had young patients who initially declined surgery due to various reasons, only to return for orthognathic surgery after a number of years, having realised that the condition actually has a direct and significant impact on their quality of life.”


Get the latest updates about Singapore Health in your mailbox! Click here to subscribe.